Avicenna Case Study: Intracranial Hemorrhage


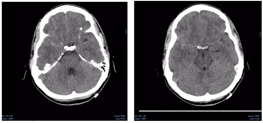
Ferrum Health partners with best-in-class AI providers offering solutions designed to reduce radiology workload and improve patient care.Avicenna Case Study: Intracranial HemorrhageAn intracranial hemorrhage was missed overnight.What if there was a tool that provided a second set of eyes?IntroductionIn the United States, intracranial hemorrhages occur in about 12-15 per 100,000 individuals, which results in approximately 7,000 surgical operations for hemorrhage evacuation. Timely and accurate diagnoses are necessary for the management of acute ICH patients. For example, prompt identification of ICH patients would facilitate immediate action, including control of blood pressure during the vulnerable first few hours of symptom onset or even surgical evacuation. In this context, reducing the risk of missing a finding is essential.Clinical CaseA 39-year-old man arrived at 3:00 AM with the Emergency Medical Services. The patient was found face down in the street with bleeding from the back of his head and ears. He presented with loss of consciousness and somnolence at his hospital arrival. An immediate NCCT of the head was ordered and obtained. The overnight report only noted a right posterior temporal occipital fracture.

At 7:00 AM the attending radiologist reviewed the case and also observed a subtle acute traumatic subarachnoid hemorrhage.If CINA-ICH was deployed at this hospital, in less than 1minute after the NCCT acquisition, a new DICOM series would have been added to the study with the suspected ICH identified by the software and the case would have been prioritized helping the fellow into his diagnosis.

ConclusionGiven the large volume of cases performed daily, which is only increasing, it is important to have a second set of eyes to help identify and triage urgent cases. Missed findings are particularly prone during the evening, at the end of shifts, and on weekends. In this situation, a tool such as CINA-ICH can improve the diagnosis and treatment of patients because treatment decisions could have begun earlier.Note: Segmentation is currently available only for use in the UE. See Avicenna outputs documents for more information.Intracranial hemorrhages (ICH) affect over two million people worldwidewith a 40-50% patient mortality rate within one month, and 80% disability despite aggressive care.Quick and accurate early diagnosisof ICH mayfacilitate a prompt therapeutic response, allow fast decision-making, and ultimately improve outcomes.CINA-ICH uses deep learning to identify suspected intracranial hemorrhageand prioritizes those cases in the worklist, dramaticallyreducing turnaround time for head traumaand stroke patients.Interested in deploying CINA-ICH at your health facility? Contact the Ferrum Health team to learn more.




