Customer stories
Therapixel Case Study: AI MammoScreen Helps to Avoid Errors
July 16, 2022


Ferrum Health partners with best-in-class AI providers, offering solutions to reduce radiology workload and improve patient care.Therapixel Case Study: AI Helps to Avoid ErrorsIntroductionAI-guided breast cancer detection system, such as MammoScreen, provides radiologists the reassurance and avoid errors.Clinical case
- A 71-year-old female requests a second opinion
- A palpable right breast mass had been negated 1 month prior
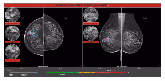
- Utilizing MammoScreen on the second image, the mass was detected with a score of 9
- The mass was found on ultrasound with a measurement of 20mm and an MRI shows a large mass
- With the high score, the AI could have alerted the first radiologist, fortunately, the patient requested a second opinion
- Biopsy result: invasive ductal carcinoma grade 3

ConclusionThe use of MammoScreen is reliable in the detection of cancer and helps to avoid errors.Interested in deploying MammoScreen at your health facility?Contact the Ferrum Health team to learn more.





