VinBrain Case Study: Detection of Lung Nodule in Easily Confused Area


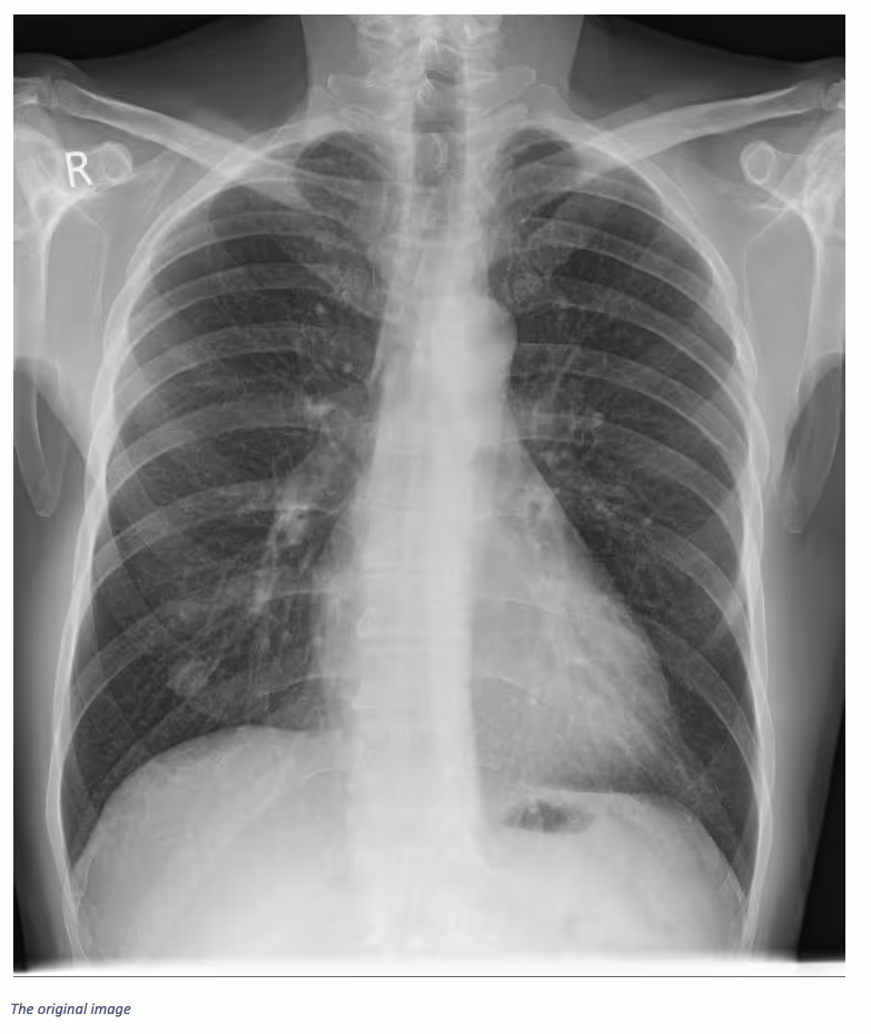
Ferrum Health partners with best-in-class AI providers offering solutions designed to reduce radiology workload and improve patient care.VinBrain Case Study: Detection of Lung Nodule in Easily Confused AreaIntroductionTypically, the structures seen in radiology studies overlap. While some abnormalities may be defined structures—such as a mass, nodule, or tumor—their appearance may not always be so well defined. As such, they may be referred to as lesions, spots, or shadows.Clinical CaseA 55-year-old male joined a chest screening program and had a Chest X-ray image. Through the image, a well-defined solitary pulmonary nodule of soft tissue density is visible in the right lower lobe. Prior examinations confirmed this as a hamartomatous mass.However, after a deep analysis, smaller, symmetrical, ill-defined nodular shadows were detected on both sides between the anterior aspect of the 5th and 6th ribs. Unlike the SPN, these shadows have an ill-defined medial border, while the lateral border is sharp.



ConclusionIt takes a physician time to analyze diagnostic images to distinguish between the appearance of solitary pulmonary nodules and bilateral nipple shadows. The use of DrAid for Lung Nodule takes only 20 seconds to find the exact area of lung nodules without mimicking nipple shadows.Interested in deploying DrAid at your health facility?Contact the Ferrum Health team to learn more.




