VinBrain Case Study: Distinguishing Lung Nodule from Other Easily Confused Lesions


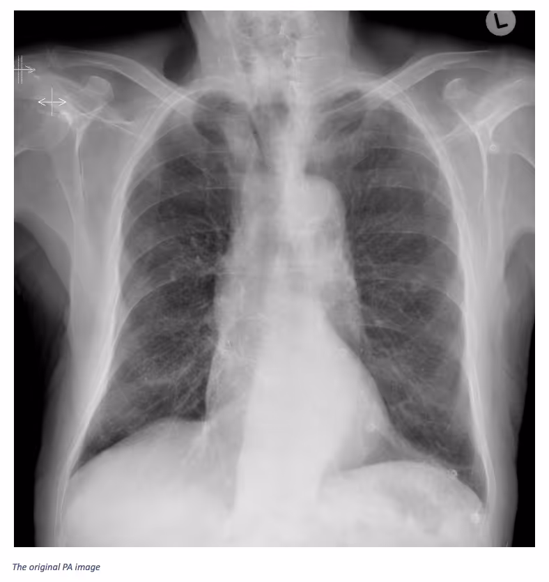
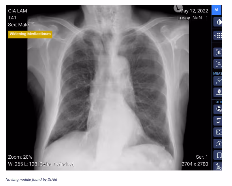
Ferrum Health partners with best-in-class AI providers offering solutions designed to reduce radiology workload and improve patient care.VinBrain Case Study: Distinguishing Lung Nodule from Other Easily Confused LesionsIntroductionConfusion in distinguishing between similar-looking findings on x-ray images is a problem that can be encountered by physicians (e.g., sclerotic rib lesions can mimic pulmonary nodules). The key is to look at prior radiographs. If the nodule remains projected over exactly the same rib site despite projectional differences then the physician can be confident that the lesions are within the rib rather than the lung.Clinical CaseAn 85-year-old male patient presented to the hospital with “Recent TAVI (transcatheter aortic valve implantation). A chest x-ray was required with both AP and PA views, then CT. After screening these images, a nodule was projected in the left mid-zone. The nodule “moves'' relative to the lung but remains directly associated with the anterior aspect of the left fourth rib on both the PA and AP projections. This indicated that the lesion is associated with the rib, which was confirmed by looking at the patient’s prior TAVI planning CT. Finally, based on CT images, the physician confirmed the Sclerotic lesion within the anterior aspect of the left 4th rib.



ConclusionDrAid can distinguish lung nodules from other easily confused lesions, which helps reduce false positives and reduce imaging scans needed for normal diagnosis purposes.Interested in deploying DrAid at your health facility?Contact the Ferrum Health team to learn more.




