VinBrain Case Study: Detection of Multiple Lung Nodules on Chest X-ray


Ferrum Health partners with best-in-class AI providers offering solutions designed to reduce radiology workload and improve patient care.VinBrain Case Study: Detection of Multiple Lung Nodules on Chest X-rayIntroductionDetecting lung nodules on a chest X-ray image is an important first step in assessing a patient. These images can help the physician identify the size, shape, and location of lung nodules, as well as other characteristics, like calcium deposits. From there, they may recommend additional tests to rule out cancer or to determine other underlying issues.Clinical case
- A 55-year-old female patient came to the hospital complaining of night sweats and dyspnea
- Her medical history included a previous head and neck malignancy
- A chest x-ray was ordered
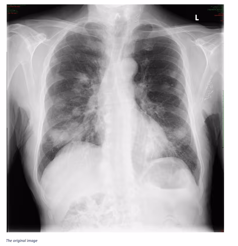
- Image findings
- Multiple lung nodules and masses in both lungs of variable size
- No internal cavitation
- Normal mediastinal contours
- Heart size normal
- Surgical clips in the left axilla



ConclusionDrAid not only detected a nodule area but also highlighted more than 1 nodule area in both lungs.Interested in deploying DrAid at your health facility?Contact the Ferrum Health team to learn more.





