VinBrain Case Study: Exact Detection of Acute Cases - Pneumothorax


Ferrum Health partners with best-in-class AI providers offering solutions designed to reduce radiology workload and improve patient care.VinBrain Case Study: Exact Detection of Acute Cases - PneumothoraxIntroductionA rib fracture or broken rib is one o the most common injuries to the chest, with rib fractures as the most common thoracic injury from blunt force trauma. Uncomplicated single rib fractures can be managed easily. However, multiple rib fractures may result in pneumothorax, a life-threatening emergency.Clinical Case
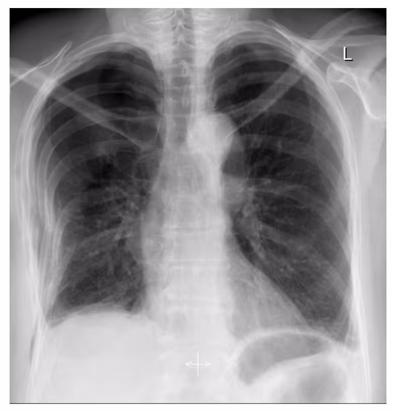
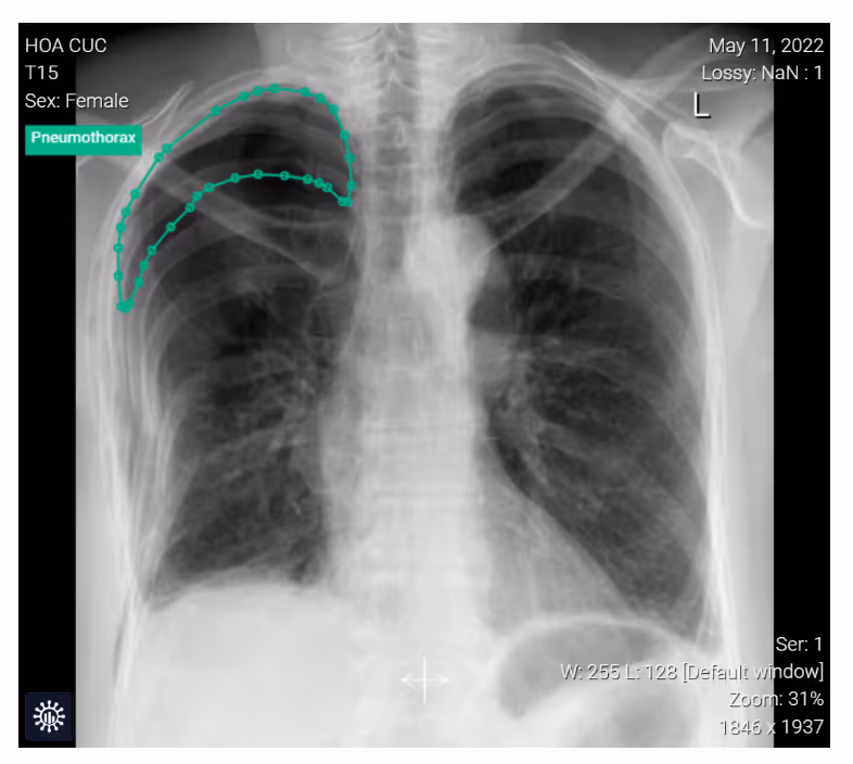
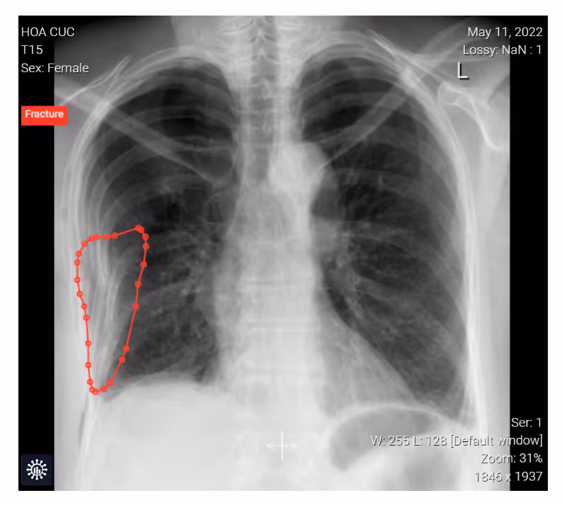
- A 55-year-old female toppled to the right side experiencing thoracic tenderness and mild shortness of breath.
- Image findings:
- Partially displaced rib fractures and a pneumothorax on the right side.
- Fractures of the right ribs 3-8 were obvious with a displacement of the 5th and 6th ribs.
- The thin pleural line and the lack of the pulmonary vessels in the right apex visibly reflect a pneumothorax.
- Subcutaneous emphysema of the thoracic wall.



ConclusionDrAid for Pneumothorax analyzed the acute case quickly and precisely, which helps in emergencies and protects the patient from a life-threatening situation.Interested in deploying DrAid at your health facility?Contact the Ferrum Health team to learn more.




